Zubní kámen pod dásní: Příznaky, rizika a efektivní odstranění

Zubní kámen pod dásní: Příznaky, rizika a efektivní odstranění

Kalkulátka rizika poddásňového kamene

Zaškrtněte všechny příznaky, které u sebe pozorujete. Nástroj vám pomůže odhadnout riziko a doporučí další postup.

Upozornění: Tento nástroj slouží pouze pro orientační vyhodnocení. Není náhradou za odbornou lékařskou diagnózu. V případě potíží s dásněmi navštivte stomatologa.

Většina lidí si myslí, že zubní kámen je jen taková „špinavá vrstva“ na spodních zubech, kterou snadno vidíte v zrcadle. a je to v podstatě jen estetický problém. Pravda je ale mnohem nepříjemnější. Ten nejnebezpečnější druh kamene totiž nevidíte - schovává se hluboko pod dásní, kde nenápadně podkopává zdraví vašich zubů a dásní. Pokud ho včas neodhalíte, můžete skončit u ztráty zubů, i když jsou zdánlivě zdravé.

Rychlý přehled: Co musíte vědět

  • Subgingivální kámen (ten pod dásní) je tvrdší a toxičtější než ten viditelný.
  • Hlavními příznaky jsou krvácící dásně, zápach z úst a ustupování dásňového okraje.
  • Domácí čištění kartáčkem ho nikdy neodstraní; je zapotřebí profesionální pomoc.
  • Neřešený kámen vede k destrukci závěsného apparatusu zubu a parodontitidě.

Co je to vlastně zubní kámen pod dásní?

Představte si zubní kámen pod dásní is mineralizovaný plak, který se usadil v prostoru mezi zubem a dásní, tzv. zubním vaku. V odbornémětvě se mu říká subgingivální kámen. Zatímco ten nad dásní je tvořen hlavně vápníkem zlůženin v slinách, ten pod dásní vzniká z produktů bakterií a zbytků krve.

Proč je tak problematický? Protože funguje jako permanentní dráždivý prvek. Představte si to jako malý, ostrý a špinavý střep, který máte vložený přímo do dásně. Tělo se snaží tento „cizí objekt“ odstranit, což vyvolává chronický zánět. Zánět dásní (gingivita) se tak postupně mění v něco mnohemK vážnějšího.

Jak poznáte, že ho máte? Varovné příznaky

Největší chyták je, že v počátcích může být proces zcela bezbolestný. Mnoho lidí ignoruje drobnosti, které jsou přitom jasnými signály, že se pod povrchem děje něco špatného. Sledujte tyto varovné signály:

  • Krvácení při čištění: Pokud vám dásně krvácí při používání mezizubního kartáčku nebo nitě, není to „normální citlivost“. Je to známka zánětu vyvolaného přítomností kamene.
  • Změna barvy a tvaru dásní: Zdravé dásně jsou světle růžové a přiléhají k zubu. Při přítomnosti poddásňového kamene bývají dásně tmavě červené, oteklé a vypadají, že se „odlepují“ od zuba.
  • Nepříjemný zápach z úst (halitóza): Bakterie schované v kameni produkují sírové sloučeniny. Pokud vám ranní svěží dech chybí i po pečlivém čištění, může být viníkem právě tento skrytý nálet.
  • Ustupující dásně: Všimněte si, zda nejsou zuby najednou „delší“. Kámen podkopává kost a dásně se stahují směrem nahoru (u horních zubů) nebo dolů (u spodních).
  • Hýbání zubů: V pokročilém stádiu už nejde jen o dásně. Když kámen zničí dostatek kostové tkáně, zub ztratí oporu a začne se hýbat.

Od SURFACE k PARODONTÓZE: Jak postupuje onemocnění

Proces není náhlý, ale je neúprojený. Vše začíná zubním plakem, což je lepivá vrstva bakterií. Pokud ji neodstraníte do 48 hodin, začne mineralizovat a vznikne kámen.

Jakmile kámen pronikne pod dásň, vytvoří se takzvaný zubní vak. V tomto vaku se množí anaerobní bakterie (ty, které nepotřebují kyslík), což je extrémně agresivní prostředí. Imunitní systém reaguje zánětem, který paradoxně ničí samotnou kost, aby se dostal k bakteriím. Výsledkem je parodontitida, což je stav, kdy zuby ztrácí svou biologickou kotvu. Podle studií z oblasti stomatologie může tento proces vést k ztrátě zubů i u lidí, kteří mají v ústech perfektně bílé a bezskvrné povrchy zubů.

Rozdíly mezi naddásňovým a poddásňovým zubním kamenem
Vlastnost Naddásňový kámen (Supragingivální) Poddásňový kámen (Subgingivální)
Viditelnost Jasně viditelný (žlutý/hnědý) Neviditelný (schovaný v dásni)
Barva Bílá až hnědá Tmavně hnědá až černá
Složení Sliny, fosfáty, vápník Krev, plaky, bakterie
Nebezpečí Estetická vada, zánět dásní Ztráta kosti, vypadávání zubů
Odstranění Klasické čištění zubů Hloubková hygienizace (curettáž)
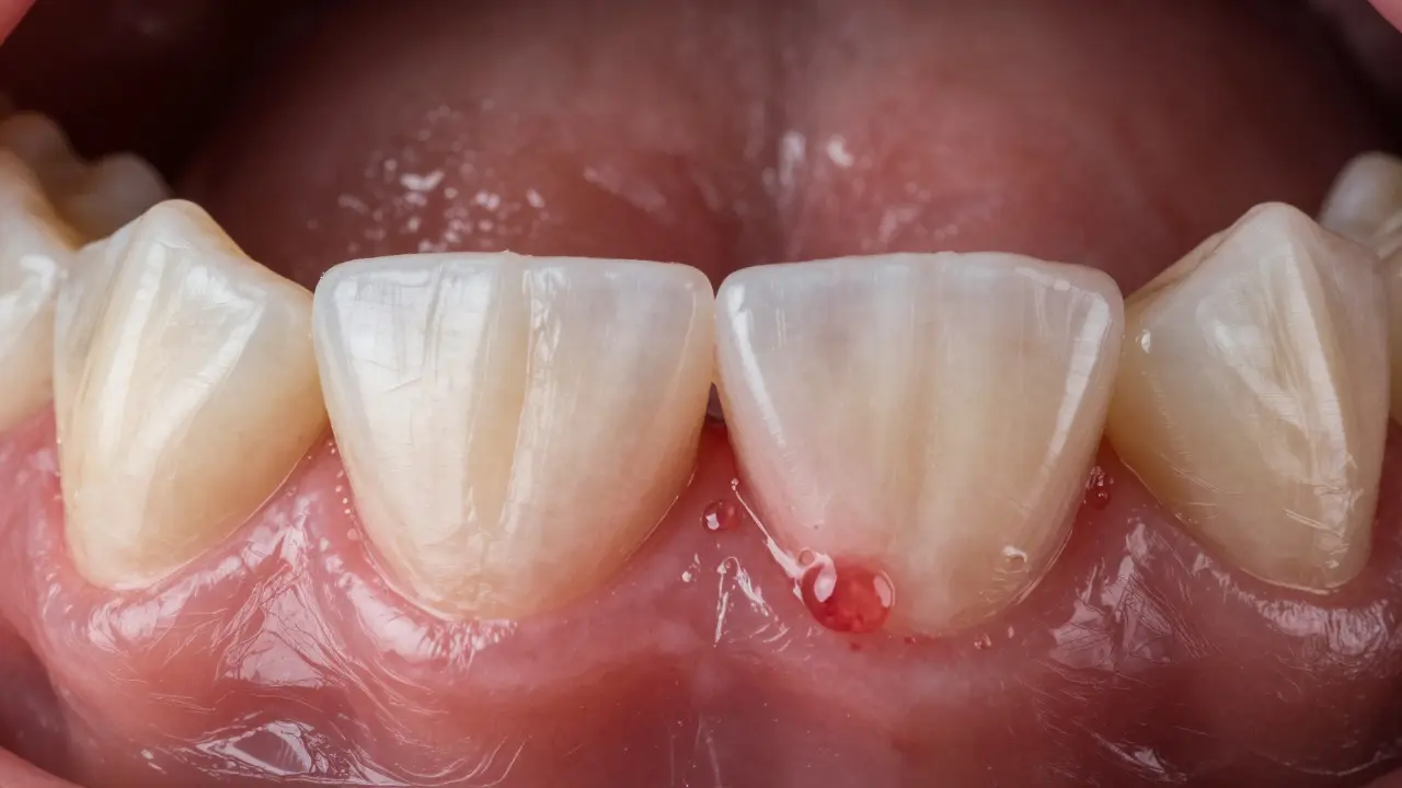
Detailní pohled na zapálené, červené a krvácící dásně jako příznak zánětu.

Proč vám nestačí jen kartáček?

Představte si svůj zub jako kmen stromu a dásně jako půdu. Zubní kartáček čistí pouze „kmen“. K poddásňovému kameni se ale žádný kartáček nedostane, protože je vloženy v úzké szczelině, kde dásně přiléhají k zubu. I moderní elektrické kartáčky s vysokou frekvencí vibrací dokážou odstranit pouze plaky, ale ne ztvrdělou mineralizovanou hmotu.

Zubní nit pomáhá předcházet vzniku kamene, ale pokud už kámen vznikl, nit ho neodstraní. Naopak, pokud budete tlačit příliš silně, můžete dásně v oblasti kamene poškodit a zánět ještě zhoršit. Jediný způsob, jak se zbavit poddásňového kamene, je profesionální hygienizace u zubního lékaře nebo hygienistky.

Jak probíhá odborné odstranění kamene pod dásní?

Pokud lékař zjistí, že máte problém pod dásní, nepoužije jen standardní ultrazvuk. Postup je obvykle komplexnější:

  1. Diagnostika: Lékař používá speciální sondy (tenké kovové hrotů), kterými opatrně měří hloubku zubních vaků.
  2. Scaling (Ultrazvuk): Pomocí ultrazvukového přístroje se odstraní hrubé vrstvy kamene. Vibrace uvolní většinu usazenin.
  3. Root Planing (Kuretaž): Toto je klíčový krok pro poddásňové oblasti. Pomocí ručních nástrojů (kureten) hygienistka jemně vyškrábe kámen z kořenových povrchů zubů a vyčistí stěny zubního vaku.
  4. Polishing a Fluoridace: Povrch zubů se vyleští, aby byl hladký a bakterie se na něj hůře uchytily. Aplikace fluoridu pomáhá zpevnit sklovinu.

Mnoho lidí se bojí, že je to bolestivé. Ve skutečnosti je to spíše nepříjemné pocit „škrábání“. Pokud máte velmi citlivé dásně, lze proces provést s aplikací lokálního anestetika v podobě gelu.

Zubní hygienistka provádí profesionální hloubkové čištění kořenů zubů.

Jak zabránit návratu kamene?

Odstranit kámen je jedna věc, udržet ho pryč je druhá. Pokud se vrátíte kly starým návykům, kámen se pod dásní vrátí velmi rychle. Zkuste tyto konkrétní kroky:

  • Kombinujte techniky: Používejte elektrický kartáček s tlakovým senzorem a doplňte ho mezizubními kartáčky. Nit je dobrá, ale kartáčky v mezerách jsou efektivnější v odstranění plaku.
  • Sledujte dietu: Cukry a rafinované sacharidy jsou potravou pro bakterie, které tvoří plak. Méně sladkého znamená méně „stavebního materiálu“ pro kámen.
  • Pravidelné kontroly: Choďte na profesionální čištění minimálně jednou za půl roku. Je mnohem snazší udržovat čistotu, než řešit pokročilou parodontózu.
  • Hydratace a sliny: Suché ústa (xerostomie) vedou k rychlejší tvorbě kamene, protože sliny přirozeně čistí zuby. Pijte dostatek vody a vyhněte se nadměrnému kouření, které oslabuje průtok krve v dásních.

Bolí odstranění kamene pod dásní?

Většina pacientů pociťuje pouze mírný tlak nebo pocit škrábání. Pokud jsou však dásně silně zapálené, může být proces citlivější. V takovém případě lze použít lokální znecitlivující gely, které bolest prakticky eliminují.

Může se zubní kámen pod dásní vyléčit doma?

Ne, poddásňový zubní kámen je tvrdá mineralizovaná struktura, kterou žádný kartáček ani domácí metoda neodstraní. Pokusy o jeho „vyškrábání“ doma mohou vést k vážnému poškození dásňové tkáně a infekci.

Jak dlouho trvá, než se vytvoří zubní kámen?

Zubní plak začíná mineralizovat velmi rychle. V závislosti na složení slin a hygieny může dojít k tvorbě prvních tvrdých usazenin už během několika dnů až týdnů od posledního důkladného vyčištění.

Je krvácení dásní vždy známkou kamene?

Krvácení je známkou zánětu. Nejčastější příčinou je právě zubní kámen a plak, ale může jít i o nedostatek vitamínů (např. vitamínu C), hormonální změny (těhotenství) nebo vedlejší účinky některých léků. Přesnou diagnózu stanoví pouze lékař.

Co se stane, když poddásňový kámen ignoruji?

Ignorování vede k prohlubování zubních vaků, ústupu kosty a zničení závěsného apparatusu zubu. Výsledkem je mobilita zubů (hýbání) a v konečném stadiu jejich přirozené vypadnutí nebo nutnost extrakce.

Další kroky a řešení

Pokud si všimli některých z uvedených příznaků, nečekejte na bolest. Bolest u parodontálních problémů přichází až v momentě, kdy je již pozdě. Doporučujeme následující postup:

  • Pro preventivně zamýšlející: Domluvte si hygienizaci zubů i v případě, že nemáte žádné potíže. Preventivní kontrola jednou za půl roku je nejlevnější a nejméně bolestivý způsob péče.
  • Pro ty s krváceními: Ihned přidejte mezizubní kartáčky vhodné velikosti. Pokud krvácení po týdnu správného čištění nepřejde, je to jasný signál pro návštěvu stomatologa.
  • Pro lidi s cukrovkou: Diabetici mají vyšší sklon k zánětům dásní a rychlejší tvorbě kamene. V této skupině je kontrola zubů každé 3-4 měsíce kriticky důležitá pro prevenci ztráty zubů.