Jak vypadá zubní kaz na rentgenu? Průvodce poznáváním kazu na zubním snímku

Jak vypadá zubní kaz na rentgenu? Průvodce poznáváním kazu na zubním snímku

Na rentgenovém snímku zubů se kaz nejeví jako černá tečka, jak si mnozí představují. Je to mnohem subtilnější změna, kterou vidí jen odborník. A právě proto je rentgen tak důležitý - ukazuje to, co oči nevidí. Když se podíváte na snímek, nevidíte jen „díru“ ve zubu. Vidíte změny v hustotě kosti a zubní skloviny, které se projevují jako tmavé skvrny. Tyto skvrny nejsou vždy stejné. Jejich tvar, velikost a poloha říkají, jak dále kaz postupoval a jaké jsou možnosti léčby.

Co na rentgenu vlastně vidíte?

Zubní kaz začíná jako ztráta minerálů ve sklovině. Na začátku je to jen mírné oslabení, které rentgen ještě nezaznamená. Až když se kaz dostane do dentinu - vrstvy pod sklovinou - začne být na snímku vidět. Dentin je měkčí než sklovina, takže když ho kaz pronikne, vytvoří se v něm dutina, která je méně hustá. A méně hustá tkáň na rentgenu vypadá tmavěji.

Na panely rentgenového snímku se kaz obvykle objevuje jako tmavá skvrna, která se liší od okolní zubní tkáně. Tmavá oblast je větší než samotná dutina, protože rentgen zachycuje i okolní demineralizaci - místa, kde zub ztrácí minerály, ale ještě nevznikla plná dutina. Tato oblast se často rozšiřuje směrem k zubnímu nervu, a to je přesně ten okamžik, kdy se kaz stává vážným problémem.

Různé typy kazu a jak se projevují na rentgenu

Není všechnen kaz stejný. Jeho podoba na rentgenu závisí na tom, kde se nachází.

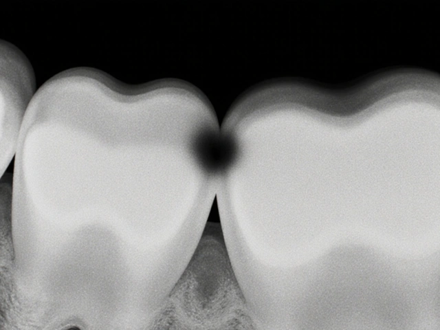
  • Oklužní kaz: Vyskytuje se na čelistních plochách zubů, kde se jídlo zadržuje. Na rentgenu vypadá jako malá tmavá škvrna mezi zuby, často v místě, kde se zuby dotýkají. Je těžký na zjištění zvenčí, protože je skrytý mezi zuby. Rentgen je jediný způsob, jak ho včas odhalit.
  • Proximální kaz: Podobný oklužnímu, ale nachází se na stranách zubů, kde se dotýkají sousedních zubů. Na snímku vypadá jako široká tmavá páska, která se táhne od povrchu zubu směrem k jádru. Často se přehlíží, protože není vidět při prohlídce.
  • Coronální kaz: Vyskytuje se na vrcholu zubu. Na rentgenu se projevuje jako tmavá oblast v horní části zubu, která se může rozšiřovat dolů. Pokud je hluboký, může sahat až k zubnímu nervu.
  • Rootový kaz: Vyskytuje se na kořeni zubu, obvykle u lidí s odkrytým zubním kmenem. Na rentgenu se ukazuje jako tmavá oblast kolem kořene, často v oblasti, kde se zub dotýká dásně. Je častý u starších lidí a u těch, kteří mají zhoršenou hygienu.
  • Recurrentní kaz: Vzniká kolem starého plomby nebo korunky. Na rentgenu se projevuje jako tmavá škvrna pod nebo vedle plomby. Je to častý problém, když plomba nebyla správně zasazena nebo když se okraj plomby začal odlupovat.

Proč je rentgen důležitější než prohlídka?

Sto zubních lékařů vás může prohlédnout, ale bez rentgenu nevidí, co se děje pod povrchem. Mnoho kazu začíná mezi zuby, kde není možné ho vidět ani zrcátkem, ani světlem. Nebo se rozvíjí pod starou plombou, kde je skrytý. Až když se objeví bolest, je už pozdě - kaz je hluboký, možná už zasažuje nerv.

Podle studie z roku 2023 publikované v Journal of Clinical Dentistry bylo zjištěno, že 68 % kazu na mezizubních plochách bylo přehlédnuto při vizuální prohlídce bez rentgenu. Až po rentgenovém snímku bylo možné včas začít léčbu. To znamená, že bez rentgenu byste mohli mít několik skrytých kazu, aniž byste o nich věděli.

Je to jako sledovat auto zvenčí a říkat, že je v pořádku, aniž byste se podívali pod šasi. Rentgen vám ukazuje, co se děje uvnitř - a to je přesně to, co potřebujete, abyste předešli bolesti, extrakci nebo drahé léčbě.

Pokročilý kaz v dentinu směřující k zubnímu nervu na rentgenu.

Jak lékař rozhoduje o léčbě podle rentgenu?

Když lékař vidí tmavou skvrnu na rentgenu, neříká hned: „Musíme vyvrtat.“ Nejprve hodnotí několik věcí:

  1. Velikost: Malá tmavá skvrna na povrchu skloviny může znamenat jen začátek kazu - možná stačí fluoridová léčba nebo zlepšení hygieny.
  2. Hloubka: Pokud se tmavá oblast táhne přes polovinu dentinu, je potřeba plomba. Pokud se blíží k nervu, může být nutná kořenová léčba.
  3. Poloha: Kaz na mezizubní ploše je obtížnější na ošetření než na čelistní ploše. Může vyžadovat speciální techniky nebo dokonce výměnu plomby.
  4. Stáří: Pokud je kaz na snímku už několik let a nezměnil se, může být stabilní. Pokud se zvětšuje rychle, je potřeba okamžitá reakce.

Lékař také porovnává aktuální rentgen s předchozími snímky. Pokud se tmavá oblast zvětšila o 2 mm za rok, je to signál, že kaz rychle postupuje. Pokud je stejná jako před dvěma lety, může být bezpečné sledovat ji s kontrolou každých 6-12 měsíců.

Co dělat, když na rentgenu vidíte kaz?

Není nutné panikovat. Malý kaz na začátku je léčitelný. Nejčastější kroky jsou:

  • Zlepšení hygieny: Čištění mezizubních prostor nití nebo mezizubním kartáčkem. Většina kazu mezi zuby vzniká kvůli neúplné hygieně.
  • Fluoridová terapie: Silnější fluoridové gely nebo laky, které zub obnoví. Některé kazy se dokonce „zahojí“ samy, pokud se zastaví jejich rozvoj.
  • Plomba: Pokud je kaz hluboký, ale nezasažuje nerv, stačí vyvrtat poškozenou část a zaplnit plombou.
  • Kořenová léčba: Pokud se kaz dostal k nervu, zub je už nezachránitelný bez odstranění nervu a očištění kořene.

Nikdy nečekáte na bolest. Když lékař řekne, že na rentgenu vidí kaz, znamená to, že je čas reagovat - ne když začnete cítit nepříjemnost.

Rekurentní kaz pod plombou s viditelnou ztrátou kosti kolem kořene.

Je rentgen bezpečný? Kolik se dá dělat?

Moderní digitální rentgeny používají 80-90 % méně záření než staré filmové snímky. Jeden zubní rentgen má stejnou úroveň záření jako 1-2 hodiny letu letadlem. Nebo jako den strávený na slunci. Je to zanedbatelné.

Pro dospělé se doporučuje celkový rentgen každé 1-3 roky, podle rizika. Pro děti a lidi s častými kazy se může dělat každých 6-12 měsíců. Pokud jste v rizikové skupině - máte špatnou hygienu, často jíte sladké, máte suché ústní dutiny - rentgen je nejen bezpečný, ale nezbytný.

Neexistuje žádná vědecká evidence, že zubní rentgeny způsobují rakovinu. Všechny moderní zařízení používají ochranné vesty a koncentrují paprsek jen na oblast zubů.

Co se stane, když kaz ignorujete?

Když necháte kaz beze změny, neprojeví se hned. Ale postupně:

  • Prodlužuje se do dentinu - zub začne citit na studené, horké nebo sladké.
  • Dosáhne nervu - začne bolet, občas i bez jakéhokoli podnětu.
  • Vznikne infekce - vzniká absces, otok, hnisání, možná i horečka.
  • Zub se rozpadne - nezbytná extrakce.
  • Infekce se šíří - může ovlivnit čelist, nos, dokonce mozek.

Nikdy nečekáte, až to začne bolet. Když lékař řekne, že na rentgenu vidí kaz, je to signál, že je čas zasáhnout - ne když se zub začne hýbat.

Jak vypadá začátek zubního kazu na rentgenu?

Začátek kazu na rentgenu vypadá jako malá tmavá skvrna na povrchu zubu, obvykle na mezizubních plochách nebo v hlubokých drážkách. Je to mírná ztráta hustoty skloviny, která je ještě malá a nepronikla do dentinu. Na začátku je možné ji zastavit fluoridovou léčbou a lepší hygienou.

Je možné vidět kaz na rentgenu, i když nebolestí?

Ano, to je přesně důvod, proč se rentgen dělá. Většina kazu, která se objeví na rentgenu, je bezbolestná. Bolest nastává až tehdy, když kaz dosáhne nervu. Pokud čekáte na bolest, je už pozdě.

Může být kaz na rentgenu přehlédnut?

Ano, pokud je rentgen špatně natočený nebo pokud lékař nezkontroluje všechny části snímku. To je důvod, proč je důležité, aby se rentgen dělal pravidelně a posuzoval odborník. Některé malé kazy mezi zuby jsou velmi těžké zjistit i na dobrém snímku.

Jak často bych měl dělat zubní rentgen?

Pro dospělé s dobrým zdravím zubů stačí celkový rentgen každé 2-3 roky. Pokud máte historii kazu, špatnou hygienu nebo časté problémy, doporučuje se každých 6-12 měsíců. Lékař rozhodne podle vašeho individuálního rizika.

Může kaz na rentgenu zmizet?

Ano, pokud je na začátku a ještě nepronikl do dentinu. Při pravidelné hygieně, používání fluoridových produktů a omezení cukru se může sklovina obnovit - proces se jmenuje remineralizace. V takovém případě se tmavá skvrna na rentgenu zmenší nebo zmizí úplně.