Jak dlouho se hojí dásně po nasazení fazet?

Jak dlouho se hojí dásně po nasazení fazet?

Hlavní fakta o hojení dásní

  • Povrchová vrstva sliznice se obnoví během 3 až 7 dní od zákroku.
  • Plná funkční stabilita dásní kolem fazet trvá obvykle 4 až 6 týdnů.
  • Nadbytečné nebo příliš těsné fazety mohou způsobovat chronický zánět i po měsících.
  • Kurákaření cigaretou prodlužuje proces hojení o minimálně dvojnásobek doby.
  • První 24 hodin je klíčové pro zabránění krvácení a infekce.

Zajímá vás, jak rychle se uzdraví vaše ústa poté, co vám zubař umístil fasety tenké keramické nebo kompozitní plomby na přední plochu zubu? Je běžné slyšet různé příběhy. Jedna kolegyně tvrdila, že bolesti byly jen dva dny, další přítel si stěžoval na citlivost celý měsíc. Pravda leží někde uprostřed a záleží na konkrétním stavu vašeho zubního systému. Biologie není přesný hodinky, ale máme k dispozici spolehlivá data z klinické praxe. Pokud čekáte tento zákrok nebo teprve řešíte, kdy přestat čekat a navštívit lékaře, zde je rozpis toho, co se děje v tkáních pod povrchem.

Biologický proces hojení: Co se děje uvnitř?

Spočívá vše o tom, jak tělo reaguje na poranění. Když je dásňový lem přenesen kvůli nasazení fázet, nebo když je nutná gingivální plastika úprava tvaru měkkých tkání kolem zubu, spustí se kaskáda událostí. Prvních pár minut po zákroku se ve tkáni tvoří srážek krve, který funguje jako dočasná krytina. Následně přichází fáze zánětu, kterou vnímáte jako otok nebo mírnou pulsaci. Nebojte se, toto je nezbytná součást opravy těla. Bílé krvinky přijíždí vyčistit prostor, aby tam mohla vyrůst nová, zdravá tkáň.

Významnou roli hraje epitel vrchní ochranná vrstva kožních a slizničních tkání. Ten začne znovu růst do cca tří dnů. Pokud však bylo nutné provést širší zásah do parodontu, regenerace spojovací vlákny trvá déle. Tyto vlákny drží dásně pevně na kosti a na zube. Bez nich je dásně nestabilní a hrozí recese.

Časová osa uzdravení po nasazení fazet

Typický průběh hojení dásní
Fáze časopis Co cítíte Co děláte
24 - 48 hodin Mírné otoky, případně malé modřiny Chladivé obklady, šetrné čištění
3. - 7. den Zánět ustupuje, povrch se zatáhne Začněte používat vyplachovací roztoky
14. - 21. den Barevný přechod dásně do normálu Použití speciální pasty pro citlivé zuby
30. - 45. den Početnost tkáně stabilizována Plná hygienická rutina

První den je nejklíčovější. Často pacienti nevědí, zda mohou jíst, nebo mají jen pití. Ideální je strava tekutá nebo polotekutá. Teplé jídlo může zvýšit průtok krve a tím i otoky, proto vyhněte horkým pokrmům první tři dny. Citlivost na chlad je zcela běžná reakce zubů pod fasétou, protože nervy stále reagují na změny prostředí. Tato citlivost obvykle vymizí, jakmile se epitel úplně vytvoří.

Druhá fáze, která začíná týden po zákroku, je klíčová pro estetiku. Dásně může vypadat „zelenavě“ nebo tmavě fialově vzhledem ke sklonu krevních cév. Jak se žilní plet sloví zpět k normálu, barva se vrátí k růžové. Pokud máte porcelánové fazety keramické obaly zubů s vysokou biokompatibilitou, materiál je velmi jemný k dásním. Ale pokud je okraj fazetě umístěn přímo pod lícním válcem dásně, může docházet k podráždění, které prodlužuje dobu hojení. Někdy musí zubař hrát trochu chirurgicky a odstranit nadbytečnou dásňovou tkáň.

Zubní kartáček a solný roztok pro ústní hygienu

Rizikové faktory prodlušující hojení

Ne všichni pacienti se hojí stejně rychle. Existuje několik faktorů, které můžeme klasifikovat jako rizika. Prvním nepřítelem je tabák. Kouření vede k tomu, že krevní cévy se zužují, což znamená, že do tkáně nedosahuje dostatek kyslíku a živin. V praxi to znamená, že místo 7 dní budete mít hojení za 14 dní, nebo dokonce déle. Pokud kouříte, zkuste alespoň týden před zákrokem a týden po něm přestat, nebo snížit na minimum.

Dalším aspektem je diabetes. Lidé s diabetem mají často zpomalovanou imunitní odpověď a sniženou schopnost syntézy kolagenu. Pokud máte cukrovku, informujte svého zubaře o hodnotách glykémie před zákrokem. V takovém případě se doporučuje delší doba pozorování a případně preventivní antibiotická terapie. Také věk hraje roli. Mladší lidé mají obecně rychlejší metabolické procesy a obnovu tkání než senioui věkové skupině nad 60 let.

Akce a kroky pro podporu hojení

Co můžete doma udělat, abyste pomohli svému tělu? Prvním krokem je správná ústní hygiena routina čistění ústní dutiny. Nedělejte to násilím na místě zákroku, ale okolí čistěte pečlivě. Použijte zubní kartáček s měkkou vlasnicí zubní kartáč se šetrnými štětinami. Štětkání agresivním pohybem může odstranit tenký film fibrinu, který chrání ránu. Místo toho použijte jemná kruhová gesta.

Je vhodné začít vyplachovat ústa solným roztokem nebo chlorhexidinem druhý den po zákroku. Sol má přírodní dezinfekční účinky a pomáhá uklidnit podrážděnou sliznici. Chlorhexidin je silnější antiseptikum, ale neměl by se používat déle než 7-10 dní bez konzultace s lékařem, protože může zbarvit zuby nebo desku. Dodržujte doporučení vašeho stomatologa ohledně léků proti bolesti. Nesteroidní protizánětlivé léky (NSAID) nejen zmírňují bolest, ale také snižují otoky.

  • Například ibuprofen se bere 4x denně, maximálně do 3 dnů po zákroku.
  • Nepijte žádné nápoje přes slamku, protože vakuový tah může poškodit srážku krve.
  • Žádné sportovní aktivity, které zvyšují tepovou frekvenci, alespoň 48 hodin.
  • Vyhýbejte se extrémnímu horku nebo chladu v ústech.
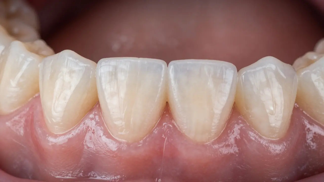
Úsměv zdravých zubů a dásní po úplném uzdravení

Kdy zavolat zubaři? Příznaky problémů

Většina lidí si myslí, že nějaká bolest je vždy špatně. Bohužel, mírná bolest je očekáváná. Ale jsou momenty, kdy signalizujete infekci. Pokud po týdnu stále trpíte intenzivní pulsací, která nevymizí ani po brání léků, je to signál. Také pokud je dásně velmi načervenalá, nafouknutá a vydává nepříjemný zápach z úst, může jít o počínající absces. Znamená to, že fázet nepadá správně a vytvořená kapsa pod dásní zachycuje baktérie.

Můžete také zaznamenat asymetrii. Pokud jedna strana tváře odule mnohem více než druhá, může jít o komplikaci. Uvedomte si, že při zasunutí fazet může dojít k mechanickému poranění hlubších struktur. To je vzácné, ale pokud došlo k poranění periostu (kostešní blány), symptomy budou přetrvávat. Zmeťte fotogafiie otoku domova. Pomocí telefonního aparátu si pořídíte obrázky každý druhý den. Pokud se stav nelepší po týdnu, tyto obrázky pomohou lékaři diagnostikovat vývoj.

Vliv materiálu na dásně

Nakonec je důležité zmínit samotné materiály. Existují keramické fazety, kompozitní i hybridní. Keramika je z pohledu bioloické shody nejlepší volbou. Má hladký povrch, na kterém se usazuje méně bakterií. Kompozitní materiály mohou být drsnější a v čase absorbují pigmenty a bakterie, což dráždí dásně. Pro lidi s tendencí k gumovým onemocněním chronickým zánětlivým stavům parodontu je tedy volba materiálu klíčová. Zvolení vhodného typu fasety minimalizuje riziko, že po měsících dostanete problémy s dásní, která se bude opakovat zanícovat.

Časté dotazy pacientů

Můžu kouřit po nasazení fazet?

Není to doporučeno alespoň 48-72 hodin. Kouření snižuje prokrvení dásní a zvyšuje riziko nekrotických změn tkáně. Ideální je zdržení se kouření po dobu dvou týdnů.

Kdy mám začít čistit fazety?

První den se vyvarujte čištění místa operace. Od druhého dne šetrně čistěte okolí, ale netlačte přímo na ránu. Po třech dnech již můžete čistit normálně.

Proč mi bolí dásně po týdnu?

Může jít o podráždění okrajem fazety, pokud ten je nesprávně přebroušený. Nebo jde o reakci na cement, který vytéká mezi dásně a fazetu. Navštivte kontrolu.

Je bezpečné pít alkohol během hojení?

Alkohol rozšiřuje cévy a podporuje krvácení. Vyhněte se mu první tři dny. Později pijte s mírou, ale nezapomeňte, že některá ústní vody obsahují ethanol.

Co znamenají modré skvrny na tváři?

Jedná se o modřiny, které vznikly po manipulaci s měkkými tkáněmi. Jsou běžné a mizí do 10-14 dnů. Nemusíte se obávat, pokud neoplachují.