Který zub je stolička? Všechno, co potřebujete vědět o molaru a jeho funkci v ústech

Který zub je stolička? Všechno, co potřebujete vědět o molaru a jeho funkci v ústech

Zdravotní test pro zuby

Ověřte své zubní zdraví

Odpovězte na následující otázky a zjistěte, zda máte zvýšené riziko problémů s molary. Tento test vám pomůže porozumět, jak často byste měli navštěvovat zubního lékaře.

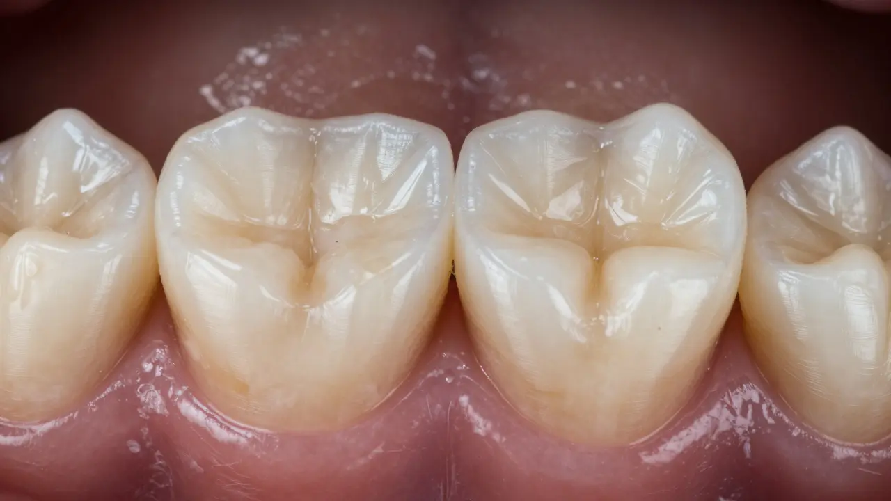
Stolička není jenom název pro nějaký kus nábytku - v ústech má svůj vlastní význam. Když si někdo řekne, že mu bolí stolička, nejde o žádný náhodný zub. Jde o ten největší zub v ústní dutině, který dělá většinu práce při žvýkání. A právě proto je důležitý i pro kyretáž zubů - protože tam, kde je největší zatížení, tam se nejvíc usazuje plak a kámen.

Co je vlastně stolička?

Stolička je hovorový název pro molar, tedy druhý nebo třetí molár, který se nachází v zadní části úst. Má širokou, plochou vrchní část s několika výběžky, které jsou ideální pro rozdrcení jídla. Každý člověk má celkem 12 molárů - po šesti v horní a dolní čelisti. Tyto zuby se obvykle začínají objevovat mezi 6. a 12. rokem života. První moláry (tzv. šestky) vyrůstají bez výměny mléčných zubů, což je pro mnoho rodičů překvapení. Nejzadnější moláry, tzv. osmice, se objevují až kolem 17-25 let, pokud vůbec.

Stolička je tedy nejen největší, ale také nejvíce zatížený zub v ústní dutině. Proto je také nejčastějším cílem kariogeneze. Když se na ní usazuje plak, nejsou to jen zuby - celá čelist se může zatížit, a to i na úrovni kloubu.

Proč je stolička důležitá pro kyretáž zubů?

Kyretáž zubů je lékařský postup, při kterém odstraňujete zubní kámen, plak a infekční tkáně z povrchu zubů a pod dásňovým krajem. A právě molar je jedním z hlavních míst, kde se kámen tvoří.

Proč? Protože:

  • Je obtížně přístupný - v zadní části úst, kde se těžko čistí štětinkou
  • Má hluboké jamky a štěrbiny, kde se zadržuje jídlo
  • Je nejvíce zatížený - častější žvýkání znamená více sliny a více bakterií
  • Často má špatnou polohu, pokud je vyrůstající osmice, což vytváří prostor pro náročnější akumulaci

Ve většině případů, kdy pacient přijde s příznaky zánětu dásní nebo krvácením, je první místo, kde lékař zkontroluje - molar. Tam se často nachází kámen, který se nevidí na běžném zubním zrcátku. A právě proto je kyretáž zubů na stoličkách tak důležitá. Bez ní se může rozšířit parodontitida, která pak vede k ztrátě zubu - a to i v případě, že ostatní zuby vypadají v pořádku.

Jak poznat, že máte problém s molaru?

Ne vždy je zubní kámen vidět. Ale tady je, na co se dát pozor:

  • Krvácení dásní při čištění nebo žvýkání
  • Zápach z úst, který nezmizí i po čištění
  • Bolest při požívání teplého nebo studeného jídla
  • Časté pocit „cizího tělesa“ v zadní části úst
  • Zvětšené nebo červené dásně kolem jednoho zubu

Nejčastější chyba lidí je, že si myslí, že když nebolí, je vše v pořádku. Ale kámen se tvoří pomalu - měsíce, někdy i roky. Až když se objeví bolest, je situace často pokročilá. Proto je doporučováno pravidelné zubní prohlídky každých 6-12 měsíců, zejména pokud máte historii zubních problémů.

Dlouhý pohled na čelist s označenými moláry jako klíčovými oporami zubní řady.

Co dělat, když máte problém se stoličkou?

První krok je vždy návštěva zubního lékaře. Ale můžete si pomoci i doma:

  1. Používejte zubní kartáček s jemnými štětinami - tvrdé štětinky mohou poškodit dásně, které u stoličky jsou často citlivé.
  2. Používejte interdentalní kartáčky nebo vodní floss - tyto pomůcky jsou ideální pro čištění mezi zuby, kde se kámen tvoří nejvíce.
  3. Nezapínejte si na důležitost jazýčku - jazyk je přirozeným čističem. Pokud ho nečistíte, zůstává na něm bakterie, které se přenášejí na zuby.
  4. Používejte antiseptický ústní vod s chlorhexidinem, ale jen krátce a pod dohledem lékaře - dlouhodobé používání může způsobit zbarvení zubů.

Nejlepší způsob, jak se vyhnout problémům s molaru, je pravidelná kyretáž. Ta není jen „vyčištění“ - je to prevence. A ve většině případů je bezbolestná, pokud je provedena včas.

Stolička a osmice - jaký je rozdíl?

Velká část lidí si myslí, že stolička a osmice jsou to samé. Ale to není pravda.

  • Stolička - obvykle označuje první nebo druhý molár (zub č. 6 nebo 7). Tyto zuby mají pevnou funkci žvýkání a jsou součástí hlavní zubní řady.
  • Osmice - třetí molár, který vyrůstá později. Mnoho lidí má osmice odstraněné, protože nevyrůstají správně, způsobují bolest, nebo zatlačují na jiné zuby.

Stolička je tedy zub, který máte celý život - pokud ho udržíte. Osmice jsou „bonusový“ zub, který často není potřeba. Ale oba jsou důležité pro kyretáž, protože oba se nacházejí v místě, kde se kámen tvoří nejvíce.

Kamenitý arch s chybějícím kamenem, který způsobuje zhroutení celé struktury.

Když už jste na kyretáži - co dál?

Po kyretáži zubů je důležité dodržovat několik pravidel:

  • Nežvýkejte 2 hodiny po proceduře - dásně jsou citlivé a mohou se zanít
  • Nejedzte teplé nebo kyselé potraviny - mohou způsobit podráždění
  • Používejte zubní pastu s fluoridem - pomáhá zubům obnovit minerály
  • Navštěvujte zubního lékaře každých 6 měsíců - i když se vám zdá, že je vše v pořádku

Nezapomeňte: kyretáž není „léčba“ - je to prevence. A prevence je levnější než náhrada zubů, které jste ztratili kvůli zanedbání.

Stolička a její význam v celé ústní dutině

Stolička není jen jeden zub. Je to klíčový prvek celého systému. Pokud se ztratí, zbytek zubní řady se posune. Zuby před ní se přesouvají dopředu, zuby za ní se posouvají do prázdného místa. To vede k deformaci ústního oblouku, problémům s řečí a i s trávením - protože jídlo se už nežveká správně.

Je to jako vyndat jeden kámen z archu. Arch se zhroutí. A to, co se děje v ústech, se projevuje i v celém těle. Výzkumy z Univerzity v Brně ukazují, že lidé s ztracenými molaru mají vyšší riziko problémů s trávením a i s celkovou hmotností, protože přecházejí na měkké potraviny.

Stolička je tedy nejen zub. Je to opora. A když ji ztratíte, ztrácíte víc, než si myslíte.

Je stolička vždy molar?

Ano, v běžné hovorové češtině se termín „stolička“ používá výhradně pro moláry - tedy pro zuby č. 6, 7 a někdy i 8. Není to anatomický termín, ale v každodenním životě všichni zubní lékaři a pacienti v Česku rozumí, že když někdo říká „bolí mě stolička“, myslí tím zub v zadní části úst, který se používá k žvýkání. Nejde tedy o žádný jiný zub, jako je přední nebo řezák.

Může stolička vyrůst znovu po odstranění?

Ne. Zuby u dospělých se nevyrůstají znovu. Pokud je stolička odstraněna - buď kvůli kariési, zánětu nebo jinému problému - zůstane místo prázdné. Někdy se může vyskytnout případ, kdy se vyrůstá osmice, ale to není „nový“ molár, ale jiný zub, který už byl původně v dětském věku v těle. Pokud je odstraněna, nevyrůstá znovu. Jedinou možností náhrady je implantát nebo most.

Je kyretáž stoličky bolestivá?

Většina lidí si kyretáž pamatuje jako mírně nepříjemnou, ale ne bolestivou proceduru. Pokud je kámen na povrchu zubů, je proces rychlý a bez anestezie. Pokud je kámen pod dásní, lékař může použít místní anestezii - a pak je celá procedura bezbolestná. Dnes se používají ultrazvukové přístroje, které jsou jemné a efektivní. Pokud vás někdo varuje, že to „bude bolet“, pravděpodobně má zkušenosti z minulosti, kdy byly techniky méně pokročilé.

Kolik stojí kyretáž stoličky v Česku?

Cena kyretáže zubů v Česku se liší podle rozsahu. Pokud je jen povrchová čistka - tedy odstranění plaku a kamenů z viditelných ploch - stojí kolem 500-800 Kč. Pokud je potřeba hluboká kyretáž (pod dásňovým krajem), cena může být 2 000-4 000 Kč za čelist. Pokud máte zdravotní pojištění, část nákladů je hrazena (obvykle 50-70 %). Doporučujeme si vždy nechat udělat odhad před procedurou.

Je možné předcházet tvorbě kamenů na stoličce?

Ano. Nejúčinnější způsob je pravidelné a správné čištění - alespoň dvakrát denně, s interdentalními kartáčky nebo vodním flossem. Důležité je také vyhýbat se častému konzumaci sladkých potravin a nápojů, které zvyšují kyselost v ústech. Pravidelné návštěvy zubního lékaře každých 6 měsíců jsou klíčové - kámen se tvoří postupně, ale je možné ho odstranit ještě předtím, než začne poškozovat dásně.