Co vytahuje zánět ze zubu? Příčiny a co s tím dělat

Co vytahuje zánět ze zubu? Příčiny a co s tím dělat

Závažnost zánětu ze zubu - náš kalkulátor rizika

Tento kalkulátor vám pomůže odhadnout, jak velké je riziko vzniku zánětu ze zubu na základě vašich zubních návyků a zdravotního stavu. Nezapomeňte, že i při nízkém riziku je pravidelná návštěva zubního lékaře klíčová.

Výsledek:

Doporučení:

    Zánět ze zubu není jen bolest. Je to tělo, které varuje, že něco je vážně špatně. Když cítíte pulzující bolest, otok v obličeji nebo chuť hniloby v ústech, nejde o to, že vám někdo zatlačil na zub. Jde o infekci, která se šíří z hlubokého zubního kazu nebo poškozeného zubu do okolních tkání. A pokud to nezastavíte, může to dopadnout i na celé tělo.

    Co vlastně způsobuje zánět ze zubu?

    Zánět ze zubu většinou začíná jako malá dírka v zubu - kámen, který se nechává na místě. Bakterie z ústní dutiny pronikají do zubního dřeni, kde není žádná ochrana. Tam se množí, ničí nerv a cévy, a vytvářejí hnis. Ten se snaží uniknout, ale když nemá cestu ven, tlačí na kost a tkáně kolem. To je, když začne bolět - a nejen v zubu, ale i v čelisti, uchu, krku nebo dokonce v oči.

    Nejčastější příčiny:

    • Nelečený zubní kámen - hlavní viník. Když se kámen rozšíří do zubní dřeni, infekce se dostane do kořene.
    • Prasklý nebo poškozený zub - i malá trhlina může být vstupní branou pro bakterie.
    • Špatně provedené léčení - pokud se zub nevyčistil úplně při kořenové léčbě, bakterie zůstanou a znovu začnou růst.
    • Zánět dásní (paradentóza) - pokud se zánět rozšíří z dásní do kosti kolem kořene, může způsobit absces.
    • Imunitní oslabení - když máte chřipku, stres nebo cukrovku, tělo méně efektivně bojuje proti infekci.

    Není to jen o tom, že jste zapomněli na zubní kartáček. Někdy to přijde i u lidí, kteří si o zuby pečlivě starají. Stačí jedna ztracená návštěva u zubního lékaře - a infekce se začne šířit bez vaší vědomosti.

    Co se děje uvnitř, když vám zub „vytáhne“ zánět?

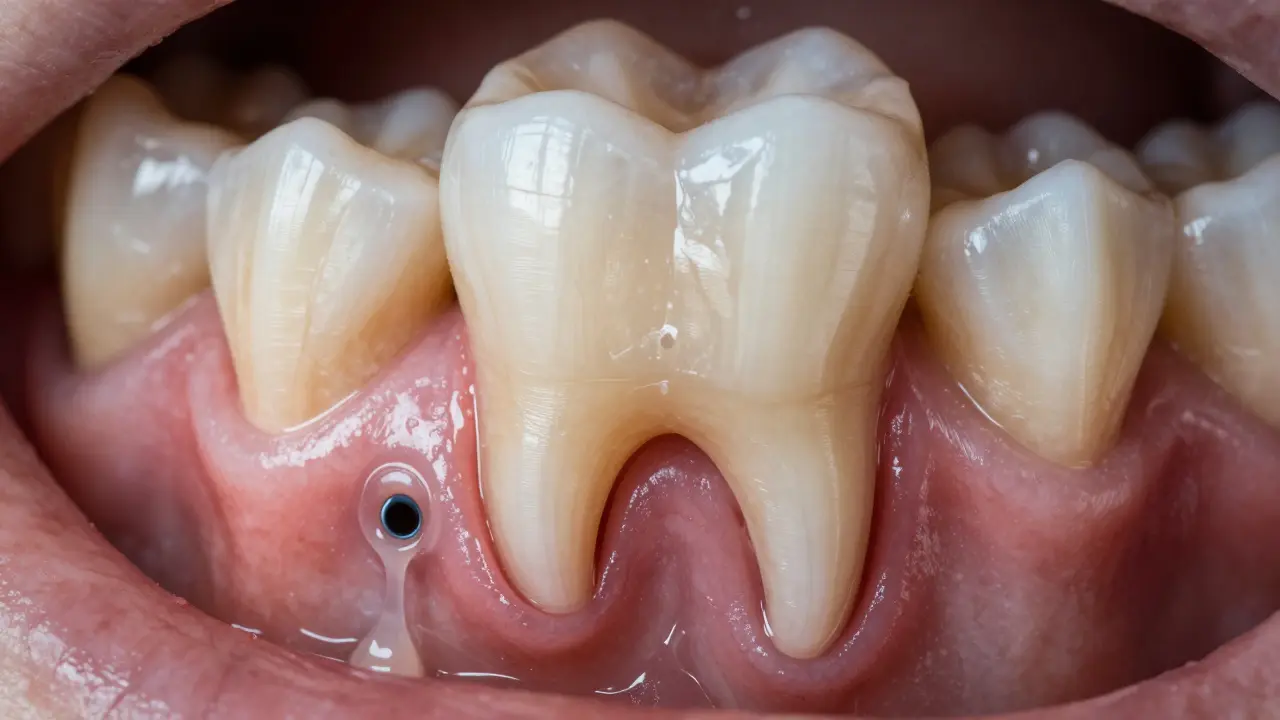
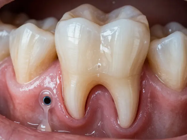
    Když se infekce dostane do kořene zubu, tělo vytvoří hnis - směs mrtvých bílých krvinek, bakterií a tkáňového odpadu. Ten se sbírá v malé kapsli u špičky kořene. To je tzv. zubní absces. Tělo se snaží hnis zadržet, aby se nešířil dál. Ale když se kapsle naplní, začne tlačit na kost a tkáně kolem - a to je, když začne bolět.

    Nejhorší je, že zánět nemusí vždy bolět. Někdy se infekce přemění na chronickou - tichou. Bez bolesti, ale s postupným ničením kosti. To se projevuje tím, že zub se začne pohybovat, dásně se odtahují, nebo se na dásni objeví malý výběžek - tzv. fístula. To je cesta, kterou hnis uniká ven. Vypadá to jako malá tečka, která vytéká bílou hnisavou tekutinou. Může to vypadat jako něco neškodného, ale je to přesně opak - tělo se snaží přežít.

    Naše tělo nevytáhne zánět ze zubu proto, aby vám pomohlo. Vytáhne ho proto, že nemá jinou možnost. Když se infekce nemůže dostat ven, šíří se do čelisti, do nosních dutin, do krku, nebo dokonce do mozku. To není přehnané - v České republice se každý rok stávají případy, kdy zubní infekce způsobila meningitidu nebo sepse.

    Co můžete udělat doma, když vás zub bolí?

    Když vás zub začne bolet, první reakce je často: „Zaříkám si na léky.“ Ale léky neřeší příčinu. Pouze utlumí příznaky. Paralen nebo ibuprofen vám může pomoci na chvíli, ale nezastaví infekci. Výplachy s solí nebo čajem z medu mohou dočasně uklidnit dásně, ale neodstraní hnis u kořene.

    Co opravdu pomůže doma:

    • Chlad na obličej - obalte led do hadru a držte na místě, kde bolí. Zmenší otok a bolest.
    • Nejedte na bolestivé straně - žvýkání zvyšuje tlak a může zhoršit infekci.
    • Nezakrývejte hnisavý výběžek - pokud vám na dásni vytéká tekutina, nekryjte to gázou. Nechte ho vytékat - to je váš tělo, které se snaží vyčistit.
    • Neužívejte antibiotika bez předpisu - pokud je infekce závažná, antibiotika pomohou jen jako doplněk k léčbě zubu. Samostatně to nevyřeší.

    Neexistuje domácí lék, který by vám zubní absces vysácl. Každá domácí metoda je jen dočasná opatření. Nejlepší, co můžete dělat, je co nejdříve jít k zubnímu lékaři.

    Příčný řez čelistí s hnisem u kořene a šířením infekce do sinů

    Co dělá zubní lékař, když vám zub „vytáhne“ zánět?

    Zubní lékař nevytáhne zánět - on ho odstraní. A to dvěma způsoby: buď zachrání zub, nebo ho odstraní.

    Kořenová léčba je první volba, pokud je zub ještě uchopitelný. Lékař otevře zub, vyčistí infikovanou dřeň, vymyje kanálky a zapečetí je. Poté se zub obnoví plombovkou nebo korunkou. Většina zubů s abscesem lze zachránit - pokud přijdete včas. V Česku se úspěšně provádí přes 80 % kořenových léčeb v případě, kdy pacient přijde do týdne od prvních příznaků.

    Pokud je zub příliš poškozený, nebo pokud infekce zničila většinu kosti kolem kořene, lékař doporučí extrakci. To není porážka - je to zastavení šíření. Po vytažení zubu se infekce vyčistí a kost se začne obnovovat. Někdy se při extrakci vloží i speciální materiál, který podporuje růst nové kosti.

    Ve většině případů lékař předepíše antibiotika - ale jen na krátkou dobu a jako doplněk. Ne jako řešení. Bez odstranění zdroje infekce (tj. zubu nebo jeho části) se zánět vrátí.

    Co se stane, když to ignorujete?

    Ignorování zánětu ze zubu není „nechám to, možná to projde“. Je to riskantní hra s vaším zdravím.

    Infekce se může šířit:

    • Do čelisti - způsobí ztrátu kosti, kterou zuby drží. To znamená, že i zdravé zuby se začnou pohybovat.
    • Do nosních dutin - zubní infekce horního zubu může přejít do sinů a způsobit sinusitidu.
    • Do krku a hrdla - může způsobit obtíže s polykáním, hlasem nebo dokonce ztuhnutí krku.
    • Do krve - to je nejhorší. Bakterie mohou cestovat k srdci, mozku nebo plícím. Výsledek: endokarditida, meningitida nebo sepse - život ohrožující stavy.

    V roce 2024 bylo v České republice zaznamenáno 17 případů, kdy zubní absces způsobil hospitalizaci na intenzivní péči. Všechny tyto případy byly u lidí, kteří odmítli léčit zubní bolest.

    Obličej s mírným otokem a červenou čárou označující šíření infekce

    Když už jste u zubního lékaře - co se stane dál?

    Po léčbě zubního abscesu není konec. Tělo potřebuje čas, aby se zotavilo. Během několika dní se otok zmírní, bolest ustoupí. Ale kost kolem kořene se obnovuje pomalu - může to trvat měsíce.

    Je důležité:

    • Pravidelně se kontrolovat - po 6 měsících se vyžaduje rentgen, aby se ověřilo, že kost se opravila.
    • Nezapomeňte na ústní hygenu - infekce se často vrací, pokud nebudete čistit zuby a mezery správně.
    • Zvažte zubní nitě a mezizubní kartáčky - když máte jednu infekci, máte vyšší riziko další.
    • Nezapomeňte na návštěvy u zubního hygienika - každé 6 měsíců je ideální. U lidí s historií zánětů je doporučeno každé 3-4 měsíce.

    Zánět ze zubu není věc, kterou si můžete dovolit nechat na později. Je to jako požár v domě - když ho ignorujete, nejenže shoří kuchyně, ale může shořet celý dům.

    Co můžete udělat, aby se to neopakovalo?

    Nejlepší léčba je prevence.

    • Čistěte si zuby dvakrát denně - nejen zuby, ale i dásně. Používejte zubní kartáček s jemnými štětinami.
    • Používejte zubní nitě každý den - kámen se tvoří v místech, kde kartáček nedosáhne.
    • Navštěvujte zubního hygienika každé 6 měsíců - i když nic nebolí. Většina kamenů se objeví bez bolesti.
    • Nezapomeňte na výživu - cukr je hlavní potrava pro bakterie. Omezte sladkosti, nápoje a sušenky.
    • Dejte si rentgen každé 1-2 roky - kámen pod zubem se nevidí na první pohled. Rentgen ho ukáže dřív, než začne bolet.

    Nejde o to, že byste měli být dokonalí. Jde o to, abyste nezapomněli na zuby, když je máte. Každý zub je důležitý. A každý zánět je varováním, které si nemůžete dovolit ignorovat.

    Je možné, aby zánět ze zubu bolěl jen občas?

    Ano. Někdy se zánět přemění na chronický - tichý. Bolí jen občas, například když jíte něco studeného nebo když máte stres. To neznamená, že je všechno v pořádku. Zánět se stále šíří, jen pomaleji. I když bolest ustoupí, infekce je stále tam a ničí kost.

    Může zánět ze zubu způsobit bolest v uchu?

    Ano. Zuby v horní čelisti jsou blízko uchu. Když se infekce šíří, může ovlivnit nervy, které vede k uchu. To způsobuje bolest, která se projevuje jako ušní infekce. Pokud máte bolest v uchu a zároveň máte zubní problém, je to často stejná příčina.

    Je bezpečné si sám vykousnout hnis z dásně?

    Nikdy. Vykousávání nebo šťouchání do dásně může způsobit, že se infekce rozšíří do hlubších tkání. I když se vám zdá, že hnis vytéká, je to jen příznak, že tělo bojuje. Lékař musí infekci správně vyčistit - jinak se vrátí hůře.

    Může zánět ze zubu ovlivnit i srdce?

    Ano. Bakterie z infekce mohou vstoupit do krve a přepravit se k srdci. Tam mohou způsobit zánět srdečních chlopní - tzv. endokarditidu. To je vážné onemocnění, které může vést k selhání srdce. Lidé s umělými chlopněmi nebo srdcovými chorobami mají ještě vyšší riziko.

    Co dělat, když se zánět vrátí po léčbě?

    Pokud se zánět vrátí, znamená to, že původní léčba nebyla úplná. Buď nebyl zub správně vyčištěn, nebo se infekce rozšířila do kosti. Je třeba opětovně provést rentgen a rozhodnout, zda je možné zub zachránit znovu nebo je nutná extrakce. Nečekáte, až to znovu začne bolět - jde o to, co se děje pod povrchem.